Aorta - AAA in Undifferentiated Shock

← Back to List

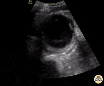
Aorta - AAA in Undifferentiated Shock

Caption

70s-year-old male brought in for altered mental status and hypotension. As part of the initial exam, POCUS was performed. This clip, obtained using the curvilinear probe in transverse orientation over the mid-epigastric region, revealed a AAA measuring 8 cm in AP diameter at the largest point with heterogeneous echogenic material consistent with thrombus. CT abdomen/pelvis with IV contrast confirmed ruptured AAA with thrombosis and only minor extravasation. In this case, POCUS played a critical role in the rapid diagnosis of a patient with undifferentiated shock, particularly in a patient who was unable to provide any history. Katherine Spencer, MD Guy Youngblood, MD, FACEP, FAAEM

Source

https://www.thepocusatlas.com/aorta


Metadata