Peds-Orbital - Vitreous Detachment

← Back to List

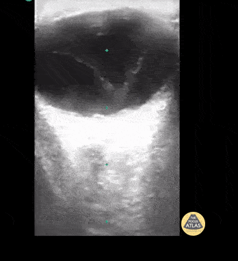
Peds-Orbital - Vitreous Detachment

Caption

12 y/o with blurry vision for 1 month. POCUS shows thickening of vitreous in middle of eye / vitreous detachment. Note there is no point of fixation at the base/optic nerve when patient is asked to move eye side to side. This finding differentiates vitreous detachment from retinal detachment. Contributor: Rahul Shah, MD

Source

https://www.thepocusatlas.com/pedsorbital


Metadata