Peds-Orbital - Lens Calcification
Caption
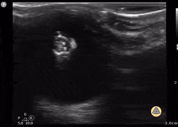
19 year old female with glaucoma presents with head trauma and abnormality of the lens on CT (calcification) that was subsequently visualized by POCUS. Contributor: Julie Leviter, MD
19 year old female with glaucoma presents with head trauma and abnormality of the lens on CT (calcification) that was subsequently visualized by POCUS. Contributor: Julie Leviter, MD