Peds-Orbital - Retinal Detachment, 8 yo
Caption
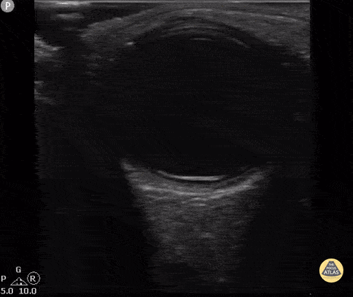
8 year old with blurry vision, acuity 20/70 and retinal detachment confirmed by dilated eye exam. Contributor: Antonio Riera, MD
8 year old with blurry vision, acuity 20/70 and retinal detachment confirmed by dilated eye exam. Contributor: Antonio Riera, MD