Peds-Orbital - Retinal Detachment
Caption
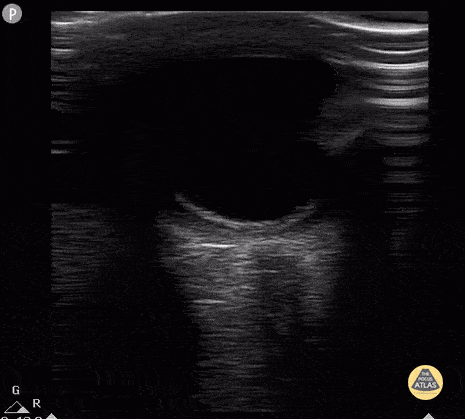
12 year old with subtle retinal detachment (vision 20/400 in affected eye). Dilated eye exam with Inferior retinal detachment from 3 o'clock to 9 o'clock. Contributor: Antonio Riera, MD
12 year old with subtle retinal detachment (vision 20/400 in affected eye). Dilated eye exam with Inferior retinal detachment from 3 o'clock to 9 o'clock. Contributor: Antonio Riera, MD