Peds-Orbital - Optic Disc Drusen
Caption
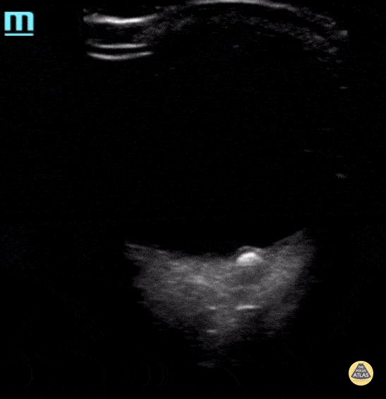
Note the hyperechogenic area that represent the drusen in the optic disc. Contributor: Maher M. Abulfaraj, MD, @mahermabulfaraj
Note the hyperechogenic area that represent the drusen in the optic disc. Contributor: Maher M. Abulfaraj, MD, @mahermabulfaraj