Aorta - Aortic Dissection Flap in Desceding Aorta

← Back to List

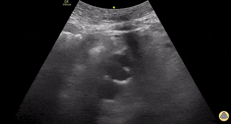
Aorta - Aortic Dissection Flap in Desceding Aorta

Caption

Flap seen in the descending aorta consistent with aortic dissection Contributed by: Dimitri Livshits DO, Ultrasound Fellow; Jane Belyavskaya MD, Ultrasound Fellow; Chris Hanuscin MD, Ultrasound Division Director (Kings County/SUNY Downstate)

Source

https://www.thepocusatlas.com/aorta


Metadata