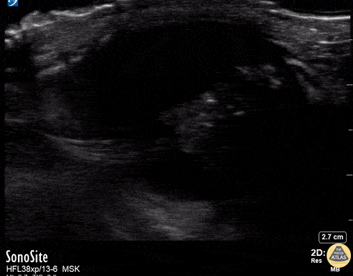
Peds-Orbital - Retinoblastoma
Caption
Retinoblastoma in a 3-year-old is noticed on the right side of the clip. Associated retinal detachment on the left side. Contributor: Peter Gutierrez, MD, FAAP Emory University School of Medicine/Children's Healthcare of Atlanta, @pocuspete