Peds-Lung - Acute Chest Syndrome

← Back to List

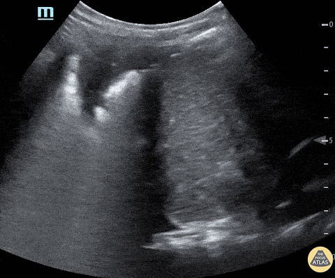
Peds-Lung - Acute Chest Syndrome

Caption

A child with history of sickle cell presented with upper abdominal and back pain and was found to be tachypneic with low grade fever. Ultrasound of the left upper quadrant demonstrated basilar left lung consolidation. Subsequent chest x-ray was interpreted as infiltrate consistent with acute chest syndrome. Michael Cover, @michaelc0ver

Source

https://www.thepocusatlas.com/pedslung


Metadata