Aorta - Thoracic Aortic Aneurysm Rupture Seen on PLAPS View

← Back to List

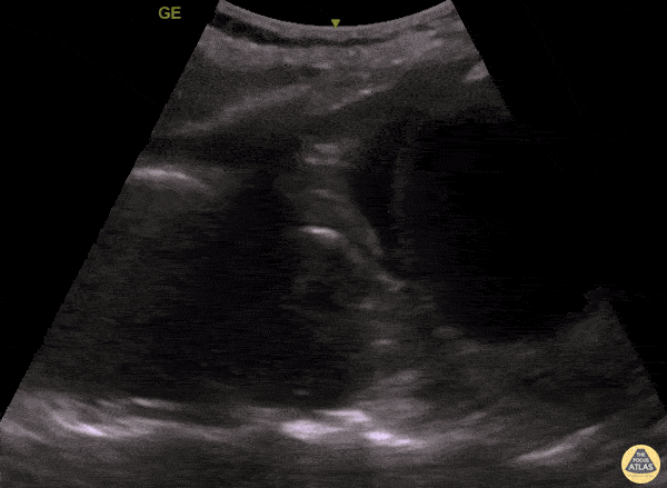
Aorta - Thoracic Aortic Aneurysm Rupture Seen on PLAPS View

Caption

An elderly woman presented to the ED with dyspnea and left mid back pain for 1 week. Left PLAPS (Posterolateral Alveolar and/or Pleural Syndrome) view revealed a round-shaped pulsatile mass surrounded by pleural effusion & atelectatic lung. CTA later confirmed a partially ruptured, thrombosed thoracic aorta aneurysm. This case illustrates the possibility of quickly diagnosing life-threatening conditions with POCUS. Contributed by: Caio Sangirardi, Emergency Medicine Resident Quinta D'Or Hospital, Rio de Janeiro - Brazil, @SangirardiMD

Source

https://www.thepocusatlas.com/aorta


Metadata