Peds-Lung - Bronchiolitis
Caption
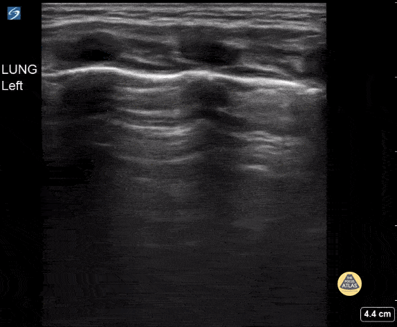
9 month old with respiratory distress. Diffuse confluent B lines found on POCUS consistent with bronchiolitis. Contributor: Kathryn Pade, MD, Rady Children's Hospital San Diego
9 month old with respiratory distress. Diffuse confluent B lines found on POCUS consistent with bronchiolitis. Contributor: Kathryn Pade, MD, Rady Children's Hospital San Diego