Peds-Lung - Loculated Pleural Effusion
Caption
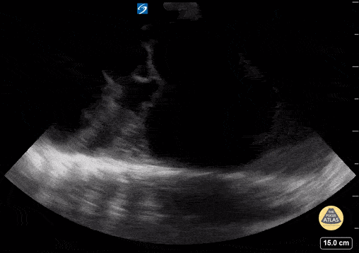
16 yo with initial diagnosis of pneumonia. Worsening shortness of breath. Found to have a loculated pleural effusion on POCUS. Contributor: Kathryn Pade, MD, Rady Children's Hospital San Diego
16 yo with initial diagnosis of pneumonia. Worsening shortness of breath. Found to have a loculated pleural effusion on POCUS. Contributor: Kathryn Pade, MD, Rady Children's Hospital San Diego