Aorta - Suprasternal view of the aorta with labels

← Back to List

Aorta - Suprasternal view of the aorta with labels

Caption

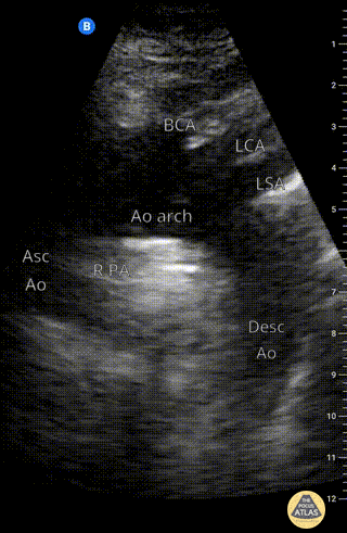
Suprasternal notch view of the aortic arch with brachiocephalic artery (BCA), left common carotid artery (LCA), and left subclavian artery (LSA) branching off. Right pulmonary artery is also visible adjacent to the ascending aorta. Charles Jang, EM PGY-3

Source

https://www.thepocusatlas.com/aorta


Metadata