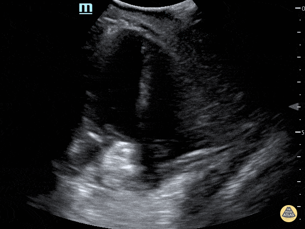
Peds-Cardiac - Apical 4 Chamber showing ASD closed with percutaneous device

← Back to List

Peds-Cardiac - Apical 4 Chamber showing ASD closed with percutaneous device

Caption

Apical 4 chamber view showing an ASD occlusion device. Contributor: Peter Gutierrez, MD, FAAP, Emory University School of Medicine/Children's Healthcare of Atlanta, @pocuspete

Source

https://www.thepocusatlas.com/pedscardiac


Metadata