Peds-Cardiac - Small Pericardial Effusion -Subxiphoid
Caption
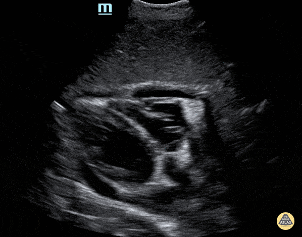
Small pericardial effusion in the subxiphoid view. Contributor: Peter Gutierrez, MD, FAAP, Emory University School of Medicine/Children's Healthcare of Atlanta, @pocuspete
Small pericardial effusion in the subxiphoid view. Contributor: Peter Gutierrez, MD, FAAP, Emory University School of Medicine/Children's Healthcare of Atlanta, @pocuspete