Peds-Cardiac - PSSA with moderate effusion
Caption
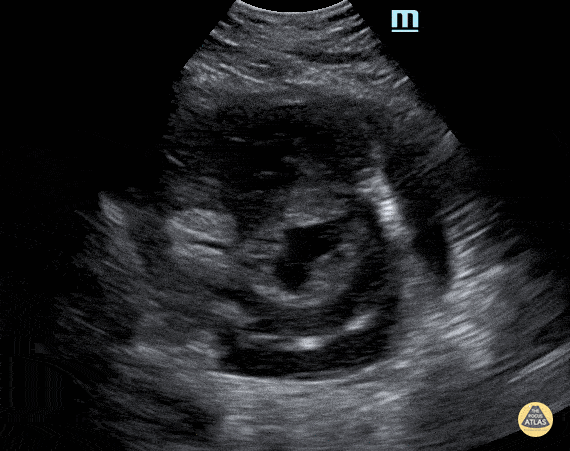
Teenage female with COVID-associated pericarditis with moderate effusion. Contributor: Peter Gutierrez, MD, FAAP, Emory University School of Medicine/Children's Healthcare of Atlanta, @pocuspete
Teenage female with COVID-associated pericarditis with moderate effusion. Contributor: Peter Gutierrez, MD, FAAP, Emory University School of Medicine/Children's Healthcare of Atlanta, @pocuspete