Peds-Cardiac - LVH in pediatric patient
Caption
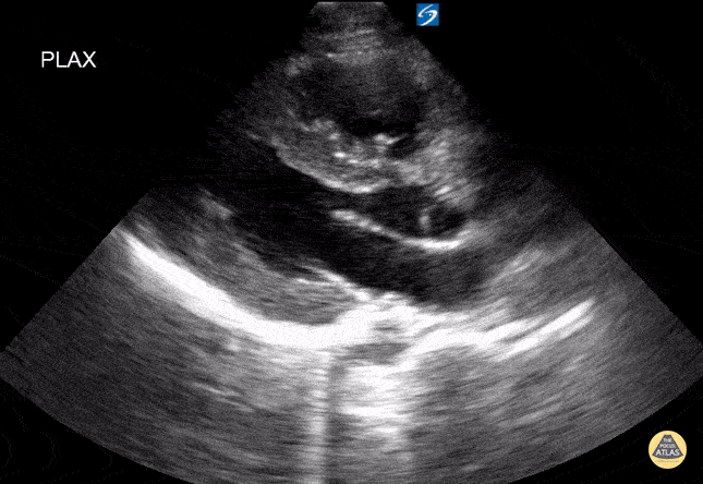
15 year old with chest pain. POCUS shows left ventricular hypertrophy. Referred to cardiology after normal labs. Contributor: Kathryn Pade, MD
15 year old with chest pain. POCUS shows left ventricular hypertrophy. Referred to cardiology after normal labs. Contributor: Kathryn Pade, MD