Peds-Cardiac - Hypertrophic cardiomyopathy
Caption
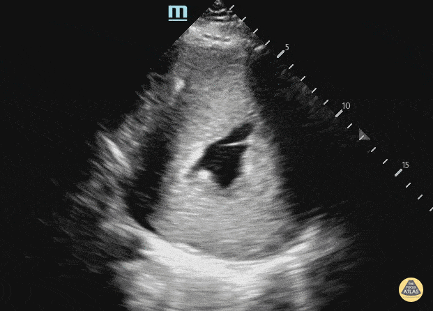
17 year old male with history of Danon disease resulting in hypertrophic cardiomyopathy. Contributor: Julia Brant, MD, Children's Colorado, @pedipocus
17 year old male with history of Danon disease resulting in hypertrophic cardiomyopathy. Contributor: Julia Brant, MD, Children's Colorado, @pedipocus