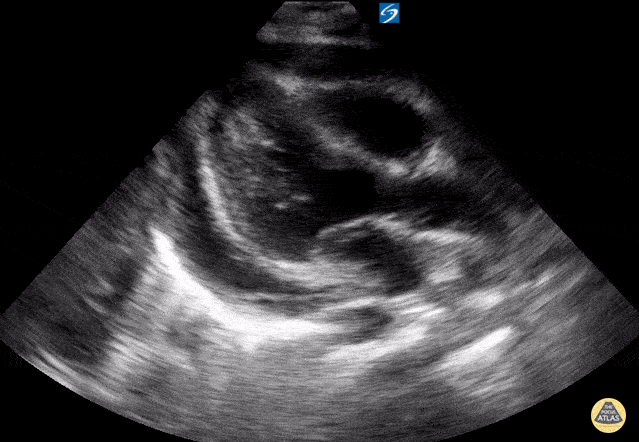
Peds-Cardiac - Moderate fibrinous pericardial effusion
Caption
Fibrinous pericardial effusion. Contributor: Peter Gutierrez, MD, FAAP, Emory University School of Medicine/Children's Healthcare of Atlanta, @pocuspete
Fibrinous pericardial effusion. Contributor: Peter Gutierrez, MD, FAAP, Emory University School of Medicine/Children's Healthcare of Atlanta, @pocuspete