Peds-Cardiac - Pericardial Effusion with Tamponade

← Back to List

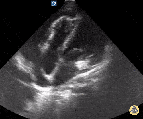
Peds-Cardiac - Pericardial Effusion with Tamponade

Caption

15 year old with lupus presents with chest pain and shortness of breath. POCUS shows a pericardial effusion with tamponade. Contributor: Kathryn Pade, MD, Rady Children's Hospital San Diego

Source

https://www.thepocusatlas.com/pedscardiac


Metadata