Peds-Cardiac - Pericardial Effusion

← Back to List

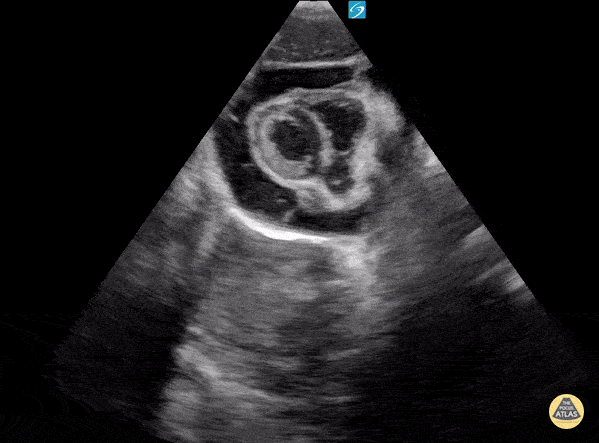
Peds-Cardiac - Pericardial Effusion

Caption

3 yo with known post viral pericardial effusion who comes to the ED with acute onset shortness of breath. POCUS shows effusion. Cardiology consulted and performed a pericardiocentesis in the cath lab. Contributor: David Lowe, MD Nicklaus Children's Hospital

Source

https://www.thepocusatlas.com/pedscardiac


Metadata