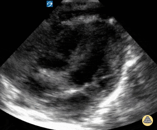
Peds-Cardiac - Normal Neonatal apical 4 chamber view
Caption
20 day old neonate presented with shortness of breath. Cardiac POCUS did not reveal any abnormalities. Contributor: Zach Boivin, MD, @ZachBoivinMD
20 day old neonate presented with shortness of breath. Cardiac POCUS did not reveal any abnormalities. Contributor: Zach Boivin, MD, @ZachBoivinMD