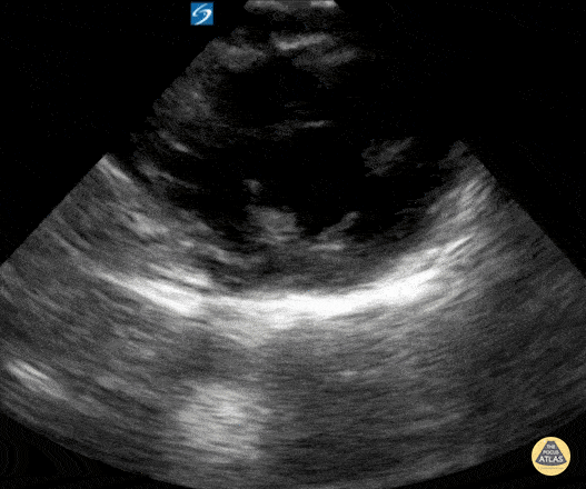
Peds-Cardiac - Older kid PSSA mid

← Back to List

Peds-Cardiac - Older kid PSSA mid

Caption

11 year old male presented to the emergency department with chest pain. Cardiac POCUS did not reveal any abnormalities and the patient was discharged home after an EKG was performed and the chest pain improved with ibuprofen. Contributor: Zach Boivin, MD, @ZachBoivinMD

Source

https://www.thepocusatlas.com/pedscardiac


Metadata