Peds-Cardiac - Older kid PSLA

← Back to List

Peds-Cardiac - Older kid PSLA

Caption

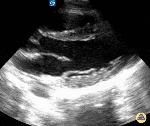
11 year old male presented to the emergency department with chest pain. Normal cardiac POCUS seen, and after a normal EKG and the chest pain resolved with ibuprofen the patient was discharged home. Contributor: Zach Boivin, MD, @ZachBoivinMD

Source

https://www.thepocusatlas.com/pedscardiac


Metadata