Aorta - Aortic Aneurysm with endoleak

← Back to List

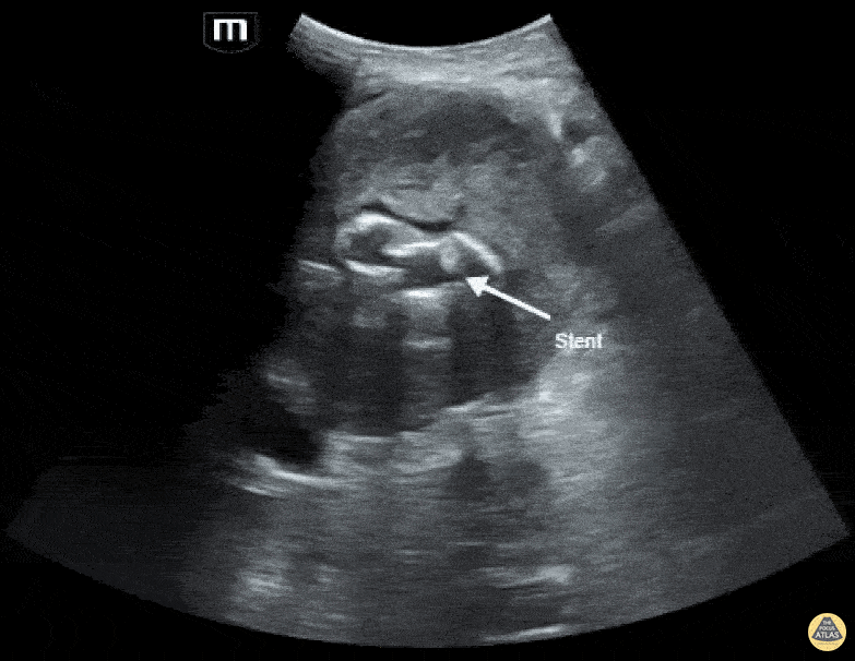
Aorta - Aortic Aneurysm with endoleak

Caption

A patient in their 80s with PMH of abdominal aortic aneurysm s/p grafting with type 2 endoleak presented to the ED for dizziness. Bedside ultrasound demonstrated an 8.55 cm aortic aneurism with large thrombus. Endoleak is the hypoechoic area seen above the hyperechoic endograft. Mehtab Galeh, MD; Bayley Espinoza, MD

Source

https://www.thepocusatlas.com/aorta


Metadata