Peds-Cardiac - VSD
Caption
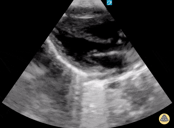
Well appearing newborn with murmur. POCUS shows a VSD. Contributor: Nolan Nielsen, MD Nicklaus Children's Hospital
Well appearing newborn with murmur. POCUS shows a VSD. Contributor: Nolan Nielsen, MD Nicklaus Children's Hospital