← Back to List
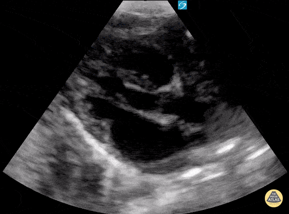
Newborn with SVT. Contributor: Paul Khalil, MD Nicklaus Children's Hospital @khalil3paul
https://www.thepocusatlas.com/pedscardiac
View: Unspecified Parasternal Long Axis Parasternal Short Axis Apical Four-Chamber Subcostal Four-Chamber Subcostal Inferior Vena Cava Right Upper Quadrant Left Upper Quadrant Suprapubic Longitudinal Suprapubic Transverse Subxiphoid Anterior Thoracic Phrenic
Normal:
Tags:
Notes: