Peds-Cardiac - Cardiac arrest - asystole
Caption
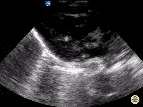
Toddler presenting in asystolic cardiac arrest. PSLX view demonstrating asystole with complete absence of cardiac movement. Contributor: Matthew Moake, MD PhD
Toddler presenting in asystolic cardiac arrest. PSLX view demonstrating asystole with complete absence of cardiac movement. Contributor: Matthew Moake, MD PhD