Peds-Cardiac - Truncus Arteriosus S/P Repair

← Back to List

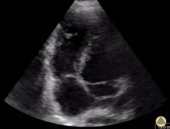
Peds-Cardiac - Truncus Arteriosus S/P Repair

Caption

Truncus arteriosus, with the left pulmonary artery arising off the ascending aorta and the right pulmonary artery arising off of the descending aorta, right aortic arch, bilateral superior vena cava without bridging vein. Contributor: Callie Alt, MD, Nicklaus Children's Hospital

Source

https://www.thepocusatlas.com/pedscardiac


Metadata