Peds-Cardiac - Neonatal PSLA

← Back to List

Peds-Cardiac - Neonatal PSLA

Caption

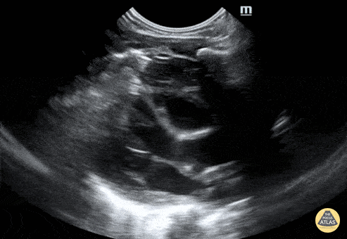
Normal Neonatal PSLA. Note thymus anteriorly. Contributor: Jaron Smith, MD Phoenix Children's Hospital

Source

https://www.thepocusatlas.com/pedscardiac


Metadata