← Back to List
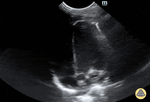
Normal neonatal apical 4 chamber. Contributor: Jaron Smith, MD, Phoenix Children's Hospital
https://www.thepocusatlas.com/pedscardiac
View: Unspecified Parasternal Long Axis Parasternal Short Axis Apical Four-Chamber Subcostal Four-Chamber Subcostal Inferior Vena Cava Right Upper Quadrant Left Upper Quadrant Suprapubic Longitudinal Suprapubic Transverse Subxiphoid Anterior Thoracic Phrenic
Normal:
Tags:
Notes: