Peds-Cardiac - Older Kid Apical 4 Chamber

← Back to List

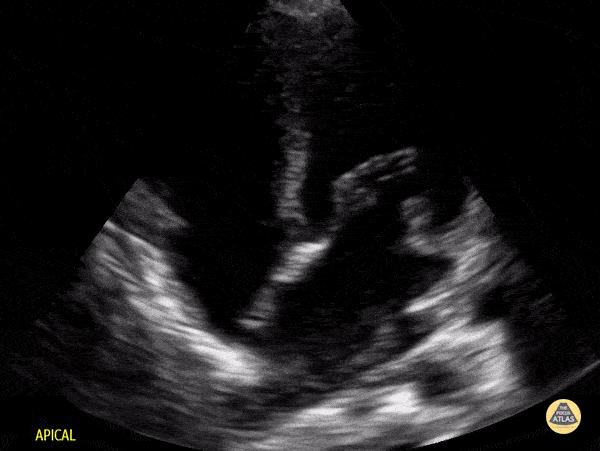
Peds-Cardiac - Older Kid Apical 4 Chamber

Caption

Normal apical 4 chamber view in a 4-year-old preschooler. Contributor: Jaron Smith, MD, Phoenix Children's Hospital

Source

https://www.thepocusatlas.com/pedscardiac


Metadata