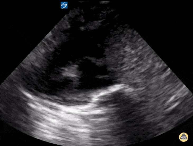
Peds-Cardiac - Tachycardia 4 month old, IVC

← Back to List

Peds-Cardiac - Tachycardia 4 month old, IVC

Caption

4 month old with pulmonic stenosis with tachycardia. IVC fluid tolerant. Contributor: Kathryn Pade, MD

Source

https://www.thepocusatlas.com/pedscardiac


Metadata