Peds-Cardiac - Tetralogy of Fallot
Caption
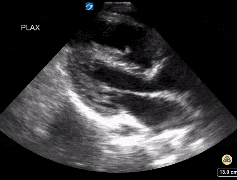
PLAX view of patient with Tetralogy of Fallot with pulmonary atresia demonstrating a moderately dilated and hypertrophied right ventricle. Contributor: Kathryn Pade, MD
PLAX view of patient with Tetralogy of Fallot with pulmonary atresia demonstrating a moderately dilated and hypertrophied right ventricle. Contributor: Kathryn Pade, MD