Peds-Cardiac - Tetralogy of Fallot Unrepaired

← Back to List

Peds-Cardiac - Tetralogy of Fallot Unrepaired

Caption

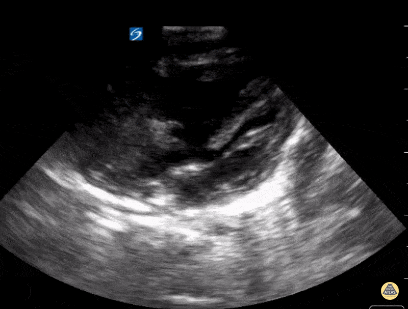
Unrepaired Tetralogy of Fallot, seen in this image is ventricular septal defect. Contributor: Kathryn Pade, MD

Source

https://www.thepocusatlas.com/pedscardiac


Metadata