Bowel-GI - Small Bowel Obstruction

← Back to List

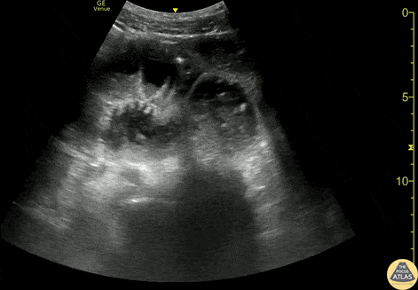
Bowel-GI - Small Bowel Obstruction

Caption

50s M with no surgical history presented with upper abdominal pain, biliary POCUS was performed which was negative, but large amounts of bowel gas were seen. Small bowel dilation was seen with multiple loops of bowel >2.5cm in diameter with bidirectional flow of bowel contents. CT confirmed SBO and the patient was taken to the OR for operative management Spencer Seballos MD, Resident, Denver Health Residency in Emergency Medicine Katie McCabe MD, Attending Physician, Denver Health Residency in Emergency Medicine

Source

https://www.thepocusatlas.com/bowel


Metadata