Peds-Cardiac - Multiple valvular abnormalities in a young boy. RV failure.

← Back to List

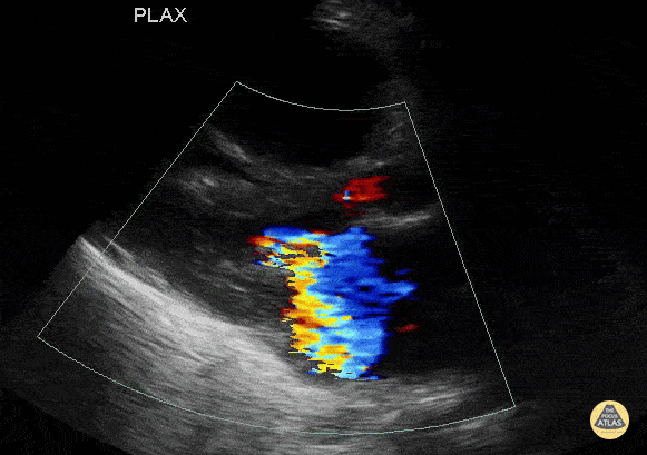
Peds-Cardiac - Multiple valvular abnormalities in a young boy. RV failure.

Caption

A 5M stating "my toes hurt." Physical examination shows blue toes. He has a history of congenital sub aortic stenosis with mitral valve regurgitation and stenosis. He was found to have an acute CHF exacerbation with biventricular involvement and mitral stenosis/regurgitation. He was admitted to the PICU on vasopressors. Contributor: John Bowling, DO, Cleveland Clinic Akron General, @BModeBowling

Source

https://www.thepocusatlas.com/pedscardiac


Metadata