Peds-Cardiac - Familial dilated cardiomyopathy

← Back to List

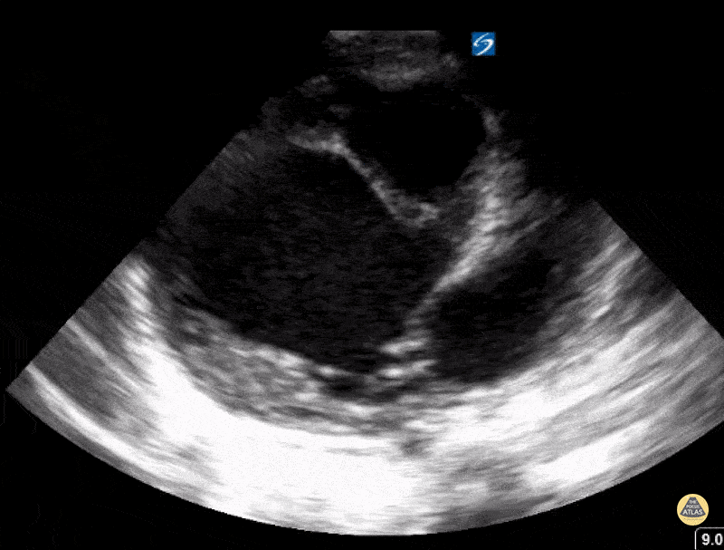
Peds-Cardiac - Familial dilated cardiomyopathy

Caption

3 month old presenting with respiratory distress. Found to have familial dilated cardiomyopathy. Contributor: Kathryn Pade, MD

Source

https://www.thepocusatlas.com/pedscardiac


Metadata