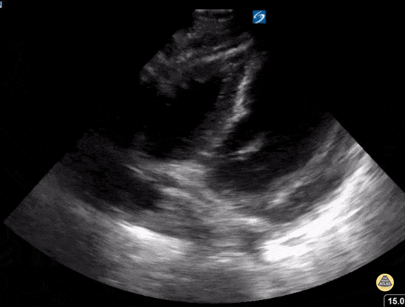
Peds-Cardiac - Pericardial effusion from lupus

← Back to List

Peds-Cardiac - Pericardial effusion from lupus

Caption

12 year old presenting with persistent tachycardia in the setting of hypertension and proteinuria and hematuria. Found to have lupus nephritis with pericardial effusion. Contributor: Kathryn Pade, MD

Source

https://www.thepocusatlas.com/pedscardiac


Metadata