Peds-Cardiac - IVC Hypovolemia
Caption
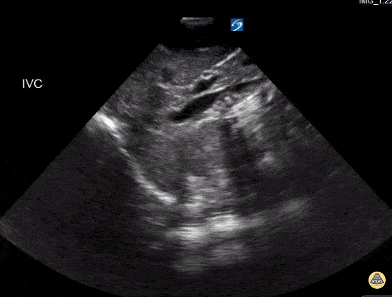
6 year old with vomiting and diarrhea. IVC shows fluid tolerant with significant flattening with respirations. Contributor: Kathryn Pade, MD
6 year old with vomiting and diarrhea. IVC shows fluid tolerant with significant flattening with respirations. Contributor: Kathryn Pade, MD