Peds-Cardiac - Cardiac Standstill

← Back to List

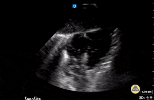
Peds-Cardiac - Cardiac Standstill

Caption

This is a subcostal view during pulse check in a patient presenting in cardiac arrest. The image demonstrates no organized cardiac movement. Small bubbles can be seen in the cardiac chambers which indicates no significant forward flow.

Source

https://www.thepocusatlas.com/pedscardiac


Metadata