UPLOADS FOR REVIEW - Cardiac Tamponade

← Back to List

UPLOADS FOR REVIEW - Cardiac Tamponade

Caption

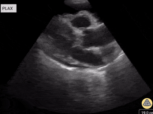
This is a 58-year-old female with history of metastatic lung cancer who presented with escalating dyspnea. POCUS revealed an anechoic region remaining anterior to the descending aorta with parasternal long axis view highlighting diastolic right ventricular collapse, and subxiphoid view highlighting systolic right atrial collapse. She subsequently went for pericardial window. Krishna Patel, DO Lauren Lowes, DO Julia Tu, MS4 Central Michigan University College of Medicine

Source

https://www.thepocusatlas.com/for-review


Metadata