Bowel-GI - Portal Venous Gas From Diverticular Abscess

← Back to List

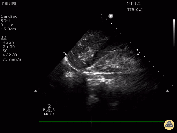
Bowel-GI - Portal Venous Gas From Diverticular Abscess

Caption

This is a clip demonstrating portal venous gas. Notice air can be seen as hyperechoic signals extending to the periphery of the liver. Air signal can also be seen within the flat IVC. Free intraperitoneal fluid is also present. Patient was ultimately found to have a large diverticular abscess. Image courtesy of Robert Jones DO, FACEP @RJonesSonoEM Director, Emergency Ultrasound; MetroHealth Medical Center; Professor, Case Western Reserve Medical School, Cleveland, OH View his original post here

Source

https://www.thepocusatlas.com/bowel


Metadata