UPLOADS FOR REVIEW - Viterous Hemorrhage

← Back to List

UPLOADS FOR REVIEW - Viterous Hemorrhage

Caption

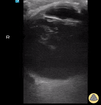
76 year old male with a PMH of malignant ocular melanoma and blindness of the right eye presented due to right sided headache for the last 2 days. Michael Bernard, DO; Thomas Taugher, DO; Marko Lubardic; Central Michigan University Residency in Emergency Medicine

Source

https://www.thepocusatlas.com/for-review


Metadata