UPLOADS FOR REVIEW - Central Retinal Artery Occlusion

← Back to List

UPLOADS FOR REVIEW - Central Retinal Artery Occlusion

Caption

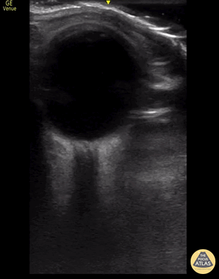
A hyperechoic focus noted in the distal optic nerve using a linear transducer concerning for an acute central retinal artery occlusion. Kody Sacks-Moynihan, MD; Steven Shapiro, DO; Jackie Nguyen, MD; Huy Tran, MD; Gaurav Patel, MD

Source

https://www.thepocusatlas.com/for-review


Metadata