UPLOADS FOR REVIEW - Post-Op Hemothorax

← Back to List

UPLOADS FOR REVIEW - Post-Op Hemothorax

Caption

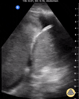
Male ICU patient developed respiratory failure and opacified L hemithorax day 2 post-op from TEVAR for Type B aortic dissection. Longitudinal view from L posterior axillary line showed hemothorax with a large intrapleural blood clot and small medial sliver of atelectatic lung. Paradoxical movement with inspiration and absence of air bronchograms assist in distinguishing clot from lung parenchyma. Samuel Eglin, MD

Source

https://www.thepocusatlas.com/for-review


Metadata