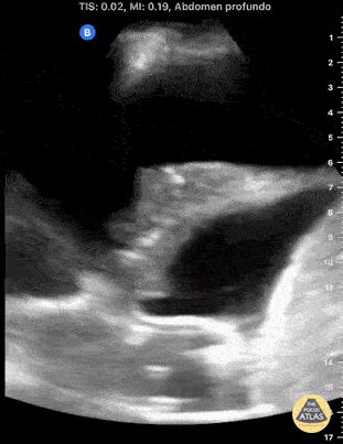
UPLOADS FOR REVIEW - Presence of Anechoic Space with Internal Echoes

← Back to List

UPLOADS FOR REVIEW - Presence of Anechoic Space with Internal Echoes

Caption

Presence of Anechoic Space with Internal Echoes Dr. Jaime Alejandro Sánchez Gutiérrez Pulmonologist @PLEURALPOCUS

Source

https://www.thepocusatlas.com/for-review


Metadata