UPLOADS FOR REVIEW - Recessive Polycystic Kidney Disease

← Back to List

UPLOADS FOR REVIEW - Recessive Polycystic Kidney Disease

Caption

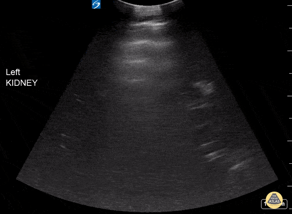
This image of the left upper quadrant of the abdomen shows multiple cystic structures of various sizes surrounding renal pelvis in patient with end stage renal disease on dialysis. This patient has recessive polycystic kidney disease. Please give credit to Dr. Michael Caro, DO, as well. Affiliations: Crozer Chester Medical Center, Upland, PA. Leslie Crosby @LeslieCrosbyMD1

Source

https://www.thepocusatlas.com/for-review


Metadata