UPLOADS FOR REVIEW - 450

← Back to List

UPLOADS FOR REVIEW - 450

Caption

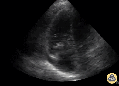
56 yoM with pmh of many things including COPD and E. fecalis endocarditis of AV, MV, TV s/p TV vegetation debulking and angiovac who presented with COVID hypoxia and meeting SIRS criteria, ended up having E. fecalis bacteremia and was transferred to Bellevue for further vegetation debulking and tx of endocarditis. We did bedside echo which showed the TV vegetations and chronic RVH and right heart strain. Jamie POSPISHIL

Source

https://www.thepocusatlas.com/for-review


Metadata