Bowel-GI - Duodenum - Colorized
Caption
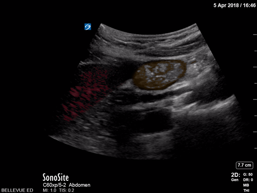
Duodenum and Liver Orange: Duodenum, Red: Liver Images: Dr. Lindsay Davis, Dr. Hannah Kopinski. Image Editing: Michael Amador and Dr. Matthew Riscinti
Duodenum and Liver Orange: Duodenum, Red: Liver Images: Dr. Lindsay Davis, Dr. Hannah Kopinski. Image Editing: Michael Amador and Dr. Matthew Riscinti